Orthodontics is a specialist branch of dental medicine - dentistry. It is focused on diagnoses and treatment of tooth, jaw and jaw joint disorders. Knowledge of how teeth and facial bones grow and develop are prerequisites for early detection and correction of malformations.
Children and adolescents are the biggest groups of patients. The earliest initial assessment can be made when all deciduous teeth have erupted. In rare cases, orthodontic treatment is required in that phase. As a general rule, the ideal age for the first orthodontic check-up is around seven. At this stage, there are many more indicators if early orthodontic treatment is necessary or not.
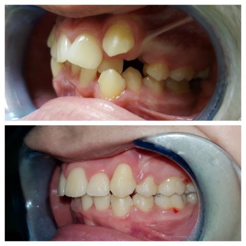
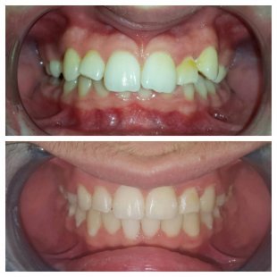
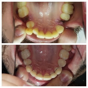
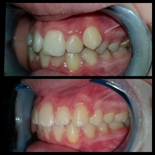
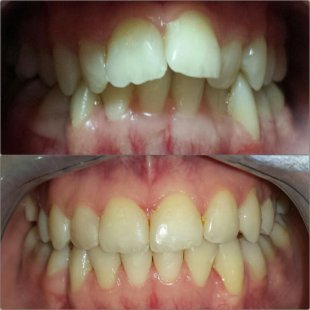
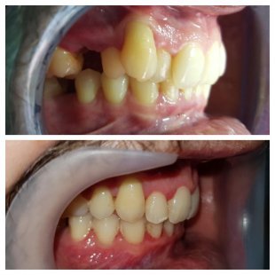
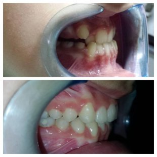
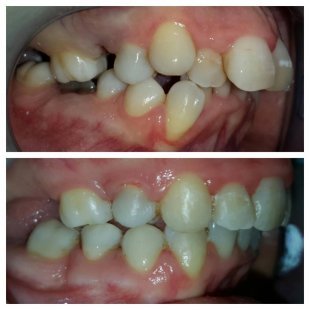
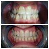
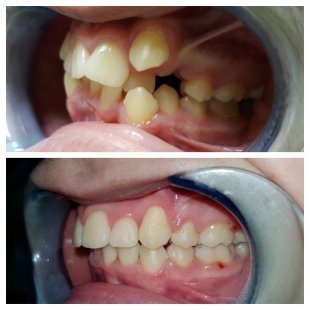
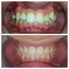
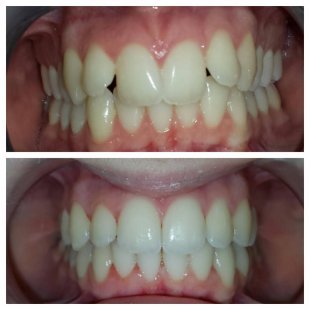
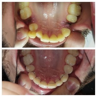
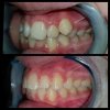
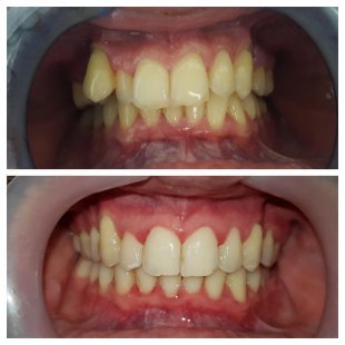
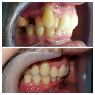
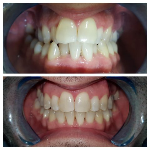
With active plate, functional and fixed orthodontic appliances, we can align the growth of the face and soft tissues, create enough space for all teeth, and increase the stability of the bite by shifting the jaws and teeth to their optimal position. However, fixed appliances are not only for children and the young. Fixed appliances are more and more often worn by patients in their thirties and forties. The conditions are as follows: their problem can be solved with braces, their tooth-supporting apparatus is preserved (which is estimated by the dentist) and they are willing to wear a fixed appliance long enough to solve the problem. A proper diagnostic procedure is what every potential orthodontic patient should know. Correcting teeth and intermaxillary relations reduces the risk of caries, periodontitis and joint diseases.
Moreover, the correction of anomalies improves and heals irregularities of breathing, chewing, swallowing and speaking functions. Besides, orthodontics brings a beautiful smile and youthful appearance that influences self-esteem, while the treatment is painless and efficient. Firstly, a jaw orthopaedics specialist performs a proper check-up. That is when we get to know your problem, wishes and expectations from the treatment. The check-up includes checking the condition of all your teeth, analysing your orthodontic problem, your orthopantomogram - an X-ray of all your teeth, your profile teleradiogram (head profile shot) and study models.



